Articole medicale Generale
- Detalii
- Articole medicale Generale
Descoperă totul despre naparlirea sau ecdysis-ul reptilelor. Află cum solzii din keratină le protejează pielea și cum apar diverse probleme de sănătate în timpul acestui proces natural. Învață cum să recunoști și să tratezi complicațiile asociate naparlirii.
- Detalii
- Dr Stefan Alexandru
- Detalii
- Articole medicale Generale
Alegerea efectiva a medicamentelor potrivite in timpul unei urgente, poate face diferenta dintre viata si moarte. Schema a fost conceputa sa adune informatii din intreaga literatura si sa furnizeze dozele corecte pentru medicamentele de urgenta in cazul speciilor exotice intalnite in practica curenta.
- Detalii
- Dr. Nita Monica
- Detalii
- Articole medicale Generale
Monitorizati cu atentie functia respiratorie, deoarece pot aparea cu usurinta obstructii respiratorii, inainte ca pacientul sa isi recapete cunostinta. In cazul pasarilor si reptilelor, o importanta deosebita o are minimalizarea hipotensiunii ortostatice prin mentinerea pacientului intr-o pozitie corporala cat mai naturala, raportata la planul orizontal (orizontala si sternala in cazul reptilelor si mamiferelor, orizontala si laterala in cazul pasarilor) si prin schimbarea foarte lenta a acestor pozitii.
- Detalii
- Dr. Nita Monica
- Detalii
- Articole medicale Generale
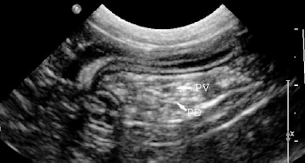
Pancreasul este o glanda cu o functionare duala, care se afla in partea anterioara a abdomenului, chiar sub stomac, langa partea superioara a intestinului subtire. Acesta indeplineste doua functii importante: l endocrina - functia hormonala este functia principala a pancreasului fiind responsabila de reglarea zaharului din sange prin producerea unor hormoni importanti, unul dintre acestea fiind insulina. l enzimatica - functie ce implica productia de substante chimice speciale sau enzime, care sunt esentiale pentru digestia alimentelor. Aceste enzime sunt in mod normal inactive in pancreas si devin active in timpul mesei.
Lobul drept si „corpul” pancreasului normal la feline se aflain mezoduoden. Lobul stang este localizat in epiploonul mare de-a lungul marii curburi a stomacului. Pancreasul normal la feline nu este vizibil radiologic.
Ecografia pancreasului normal la feline
Lobul drept subtire este localizat dorsomedial duodenului descendent, in mezoduoden. Varful distal al extremitatii drepte are o curbura craniala. Estremitatea stanga este mai scurta, mai groasa si este localizata intre stomac si colonul transvers. Corpul este gasit in unghiul format de stomac si duodenul descendent. Vezi figura 1.
- Detalii
- Dr Stefan Alexandru
- Detalii
- Articole medicale Generale
Scroafa, la fel ca si cateaua, este un pacient dificil din punct de vedere obstetrical deoarece, desi s-ar putea sa fie clara nevoia de interventie chirurgicala, nu este intotdeauna posibil de identificat o anumita cauza a distociei, nici chiar dupa efectuarea operatiei.
- Detalii
- Dr Dan Eugen Gisca
- Detalii
- Articole medicale Generale
Este o bacterioza transmisibila produsa cel mai frecvent de Salmonella typhimurium var. Copenhagen. Salmoneloza poate evolua in paralel cu multe alte boli, cum ar fi trichomonoza, coriza, ornitoza, paramixoviroza, etc. Circoviroza este o boala relativ noua care produce depresia sistemului imunitar si coevolueaza deseori cu salmoneloza.
- Detalii
- Dr Herman Constantinescu
- Detalii
- Articole medicale Generale
Schiopaturile se regasesc printre principalele probleme cu care se confrunta crescatorii de vaci de lapte. Importanta schiopaturilor este data de reducerea productiei si alte efecte conexe dar mai ales de scaderea indicelui de bunastare al vacilor prin suferinta creata animalelor si a modificarilor de comportament. In aceasta prezentare am urmarit sa evidentiem corelatia dintre leziunile ongloanelor si gradul de schiopatura deoarece pe baza rezultatelor obtinute putem stabili cauzele ce au produs aceste leziuni precum si sa punem in practica un plan de masuri pentru prevenirea si combaterea acestora.
- Detalii
- DR ILIE GHEORGHITA
- Detalii
- Articole medicale Generale
Fracturile bovinelor sunt comune si fiecare pacient bovin este unic, prezinta nenumarate provocari si necesita o gandire atenta.
- La bovine, rezolvarea fracturilor de obicei ar trebui sa fie de calitate acceptabila pentru a nu cauza o scadere a productiei de lapte sau de carne sau pentru a nu interfera cu reproductia naturala.
- Decizia de a trata fracturile la bovine este realizata prin evaluarea costurilor si a ratelor de succes ale tratamentului, a valorii animalului si a localizarii si a tipului de fractura.
- Stabilizarea temporara a membrelor fracturate este deseori la un pas intre succes si esec.
- Coaptarea externa deseori este un tratament adecvat si economic pentru a rezolva un os fracturat la bovine.
- Fracturile deschise la bovine au un prognostic rezervat. Ratele de succes deseori depind de gradul de contaminare si de limitarea economica a proprietarului.
- Fracturile apendiculare (oasele membrelor anterioare si a celor posterioare) sunt des intalnite la bovine, la vitei si apar posttraumatic in timpul manipularii sau a distociei.
- Detalii
- Dr Stefan Alexandru
- Detalii
- Articole medicale Generale
Incidenta micozelor cu exprimare clinica este redusa la animalele mici, insa Trichophyton mentagrophytes reprezinta cea mai frecventa cauza a dermatitelor la aceste animale. Agentii etiologici ai micozelor prezinta o importanta mai mare din punct de vedere zoonotic, decat din punct de vedere clinic. Rozatoarele sunt in general purtatori asimptomatici ai pecinginei (tricofitiei), iar transmiterea acesteia la oamenii care intra in contact cu aceste rozatoare nu este neobisnuita.
- Detalii
- Dr. Nita Monica
Noutăți Medicale FermaToate
-
Importanța implicării medicilor veterinari în sănătatea ovinelor
- Dr. Ciprian Radu
Cum își pot îmbunătăți medicii veterinari comunicarea cu fermierii și cum se pot implica mai mult...
-
Eficacitatea laserului CO2 în tratamentul masei cutanate la cai rezultate și perspective clinice
- Dr Stefan Alexandru
Un articol publicat în Journal of American veterinary Medical Association în 2002 a explorat...
-
Bolile alergice ale pielii la ecvine: Ghid clinic de consens al Asociației Mondiale de Dermatologie Veterinară
- Echipa Veterinarul.Ro
Bolile alergice ale pielii la ecvine sunt frecvente în întreaga lume și afectează sănătatea și...
Noutăți Medicale PETToate
-
Particularități de anatomie și fiziologie dentară la iepurele european
- Echipa Veterinarul.Ro
Iepurele (Oryctolagus cuniculus) este un adevărat ierbivor. Dieta naturală a iepurelui constă în...
-
Aspecte histopatologice în fibrosarcom
- Iulia Milin
Fibrosarcomul face parte din categoria tumorilor cavității bucale. Este o tumoare canceroasă derivată...
-
Extracția dentiției temporare la câine
- Echipa Veterinarul.Ro
Majoritatea animalelor domestice prezintă două seturi de dentiție și anume dentiția temporară...
Noutăți Business
Rezoluții de început de an pentru sănătatea animalelor de companie: ce ar trebui să comunice medicii veterinari în social media
- Iulia Cretu
Dividende 2025: Cum optimizezi plata CASS dacă ai profit mare și ce e mai avantajos dacă profitul e mic
- Echipa Veterinarul.Ro
Firmele pot distribui dividende pe final de 2025 chiar dacă nu au bani în cont. Impozitul de 10% trebuie însă achitat până la 25 ianuarie 2026
- Echipa Veterinarul.Ro
Notificarea ANAF privind facturile netransmise în termen prin e-Factura: a fost introdus Formularul 800
- Iulia Cretu

