- Detalii
- Articole Medicale PET
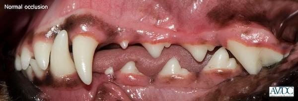
Recunoasterea malocluziilor la caine si pisica
- :
⏱️ Durata estimată a lecturii: ~5 min
- Detalii
- Dr Zvorasteanu Raluca
- Categoria părinte: PET
-
Program complet de pregătire continuă pentru medici veterinari
Obține rapid cele 120 de puncte EMC – 100% online, simplu și accesibil!
Abonează-te acumDe 17 ani, Veterinarul.ro prezintă faptele și dezbaterile din profesie, cu scopul de a informa și sprijini comunitatea veterinară. Publicăm articole care reflectă atât perspectivele medicilor, cât și impactul asupra societății. Mulțumim pentru contribuția și implicarea adusă, editorilor și abonaților medici veterinari români, fără de care nu am fi putut exista. Le datorăm recunoștința noastră pentru perseverența de a rămâne fideli principiului care ne ghidează din prima zi:
Veterinarul.ro există pentru și împreună cu comunitatea veterinară din România.Implică-te în susținerea jurnalismului medical veterinar independent Cu o donație, o sponsorizare sau redirecționare impozit, susții informația corectă, responsabilă și accesibilă comunității veterinare și proprietarilor de animale. SusțineUrmărește-ne pe rețelele sociale:
ARTICOLE CU ACELAȘI SUBIECT:
Animalele de companie, implicate în răspândirea unui vierme plat invaziv, arată un nou studiu
Un studiu publicat în revista științifică PeerJ arată că animalele de companie ar putea contribui la...
Un nou vaccin experimental oferă protecție eficientă împotriva virusului H5N1 la pisici
Un vaccin recombinant de nouă generație, bazat pe hemaglutinină H5, a demonstrat protecție eficientă...
Medicii veterinari avertizează asupra retragerii unui vaccin antirabic: unele animale ar putea să nu fie protejate
Medicii veterinari din Statele Unite avertizează proprietarii de animale de companie cu privire la r...
Frunevetmab sub lupă: analiză FDA privind reacțiile adverse raportate la pisici cu osteoartrită
Un studiu publicat la 11 februarie 2026 în Journal of Veterinary Internal Medicine aduce în atenție ...
Noutăți Medicale FermaToate
-
Importanța implicării medicilor veterinari în sănătatea ovinelor
- Dr. Ciprian Radu
Cum își pot îmbunătăți medicii veterinari comunicarea cu fermierii și cum se pot implica mai mult...
-
Eficacitatea laserului CO2 în tratamentul masei cutanate la cai rezultate și perspective clinice
- Dr Stefan Alexandru
Un articol publicat în Journal of American veterinary Medical Association în 2002 a explorat...
-
Bolile alergice ale pielii la ecvine: Ghid clinic de consens al Asociației Mondiale de Dermatologie Veterinară
- Echipa Veterinarul.Ro
Bolile alergice ale pielii la ecvine sunt frecvente în întreaga lume și afectează sănătatea și...
Noutați Medicale GeneraleToate
-
Ce trebuie și ce nu trebuie să puneți în sau pe o rană
- Monica Nita
Obiectivul principal al curățării plăgiloreste de a îndepărta țesutul necrotic și alte fragmente de...
-
Îngrijirea adaptată culturii: îmbunătățirea încrederii în medicina veterinară
- Echipa Veterinarul.Ro
Un nou articol publicat de Sohaila Jafarian în Clinical Veterinary Small Medicine evidențiază...
-
Recunoașterea efectului placebo în medicina veterinară
- Echipa Veterinarul.Ro
Atunci când un câine participant la un studiu clinic privind un supliment pentru sănătatea...
Noutăți Business
Rezoluții de început de an pentru sănătatea animalelor de companie: ce ar trebui să comunice medicii veterinari în social media
- Iulia Cretu
Dividende 2025: Cum optimizezi plata CASS dacă ai profit mare și ce e mai avantajos dacă profitul e mic
- Echipa Veterinarul.Ro
Firmele pot distribui dividende pe final de 2025 chiar dacă nu au bani în cont. Impozitul de 10% trebuie însă achitat până la 25 ianuarie 2026
- Echipa Veterinarul.Ro
Notificarea ANAF privind facturile netransmise în termen prin e-Factura: a fost introdus Formularul 800
- Iulia Cretu

